Fix Your Cavities & Have Confidence in Your Smiles Again!
- Dentistry On Corby

- Jun 6, 2022
- 1 min read
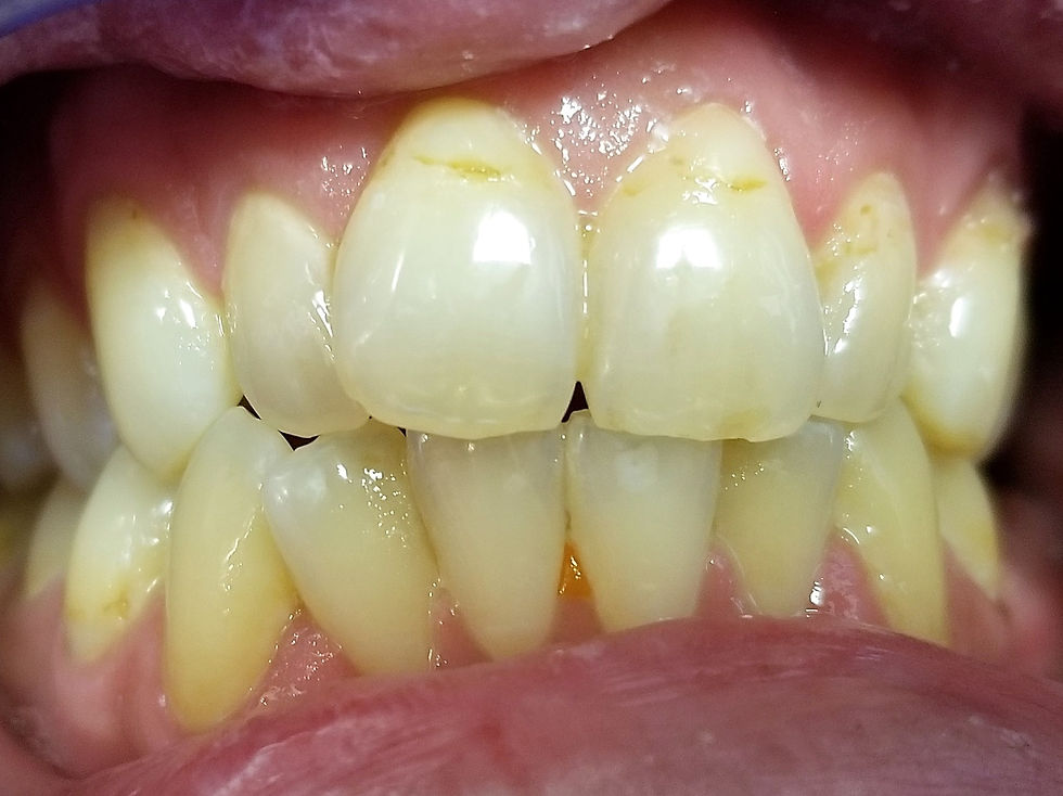
This 18 year-old male previously had braces before. Due to lack of oral hygiene, he had multiple cavities for his front upper teeth, as shown in the photos.
We decided to have composite bonding on his front upper teeth to fix his cavities and also to close up the small spacing at his midline (between his upper central incisors). He would also like them in a whiter color.
Check out his before and after photos!
The plan is to have in-office whitening or take-home whitening for his other teeth! Should he decided to proceed with it, we will post some new photos!
We are always here to help! Our office's motto is "No Smiles Left Behind!"
Contact Dentistry On Corby at (289) 590-8888, or email us at info@dentistryoncorby.ca to schedule an appointment today! We are located at 2 Corby Road Unit #2, Markham, ON. L3R 8A9.
















Comments