Refresh your smiles :)
- Dentistry On Corby

- Jan 10, 2021
- 1 min read
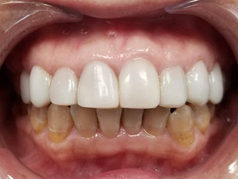
Patient has permanent staining on her teeth due to intake of tetracyline when she was a child. Her previous dentist had put on layers of composite fillings to mask the discoloration of her top front teeth.
Patient came into my office and was wondering if I could do a better job for her front teeth bondings. She didn't like the way her front teeth looked due to the staining and roughness, also she couldn't even floss between her teeth. Upon examination, her front 2 teeth were actually connected by composite fillings!
Options such as porcelain veneers and Invisalign were presented to patient. However they were declined due to financial reasons. Despite there are limitations of composite bondings/veneers, we went ahead with this option. Please scroll below for a side-by-side comparison of her BEFORE and AFTER photos.
BEFORE AFTER
Please note that her teeth are not straight naturally, but we managed to have these composite bondings/veneers in a way that make her teeth APPEAR to be in alignment. If you pay attention to her BEFORE photos, her left side upper lateral incisor was hiding from the adjacent teeth. Whereas in her AFTER photos, her teeth are straight and in alignment.
We also modified her teeth's proportion and made sure her new smiles is no longer bulky! Patient was extremely satistfied with the end result!
Do you have discolored or misaligned teeth and would like to improve your smiles? Contact Dr. Shirley Leung at Dentistry On Corby ((289) 590-8888)! We are here to help! Our office's motto is "No Smiles Left Behind!".
:)












Comments